九游(NINEGAME)娱乐股份有限公司-官方网站

《Cell》靶向心脑轴:心梗精准治疗的新方向!
发布日期:2026-03-11 14:51:24 浏览次数:

  凌晨的急诊室,一名患者突发急性心梗,冠状动脉瞬间堵塞,心肌细胞开始大面积缺血坏死,医生紧急溶栓、支架介入,但即便疏通了血管,部分患者仍会出现心衰、心律失常等后续问题。心梗后的心脏会通过神经向大脑传递信号,而大脑的反馈又会反过来影响心脏恢复,这背后的神经免疫通路一直是医学研究的难点。这篇研究就精准找到了心梗后心脑之间的信号传递链条,为心梗治疗找到了新的靶点。

《Cell》靶向心脑轴:心梗精准治疗的新方向!(图1)

  来自美国加利福尼亚大学圣地亚哥分校 Kevin R. King和Vineet Augustine研究团队做了一项专门研究,标题为《A triple-node heart-brain neuroimmune loop underlying myocardial infarction 》,相关成果于2026年1月27日发表在《Cell》期刊上。本研究通过单细胞 RNA 测序、化学遗传学等多种技术,发现心梗后存在由迷走神经 TRPV1 感觉神经元、下丘脑室旁核 AT1aR 神经元、颈上神经节 IL-1β 信号构成的三节点心脑神经免疫环路,该环路会加剧心梗病理损伤;通过消融、抑制或阻断这三个节点,均能有效减小梗死面积、改善心脏功能,明确了三个节点作为心梗治疗靶点的潜在价值,同时也揭示了心梗作为心 - 脑 - 免疫联动疾病的病理本质。

《Cell》靶向心脑轴:心梗精准治疗的新方向!(图2)

  消融 TRPV1 迷走感觉神经元(节点 1)可改善心肌梗死后的心脏功能

  消融 TRPV1 迷走感觉神经元能增强梗死边缘区的抗损伤能力,缓解心肌梗死后的组织损伤

  抑制下丘脑室旁核 AT1aR 神经元(节点 2)可改善心肌梗死后的心脏功能

  阻断颈上神经节的白介素 - 1β 免疫信号(节点 3)可改善心肌梗死后的心脏功能

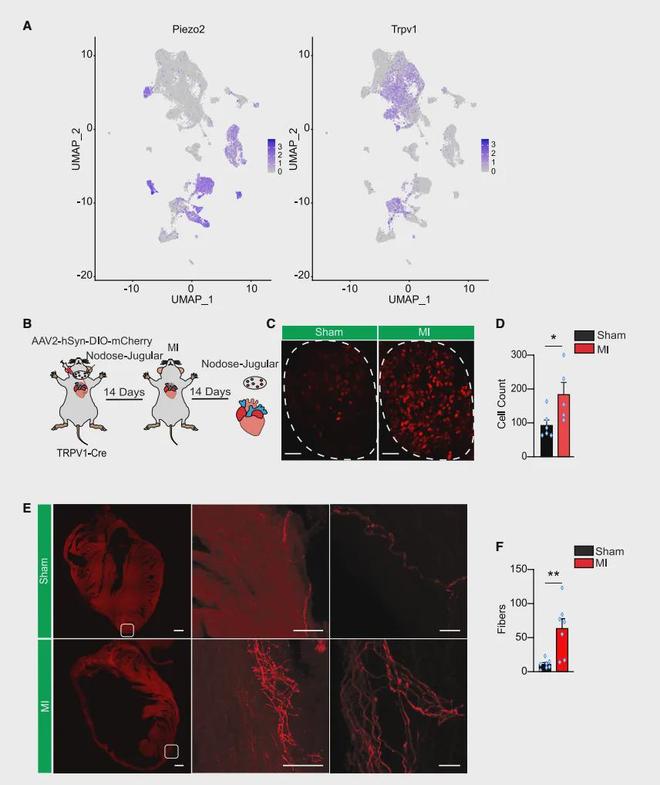
  心梗发生后,心脏的损伤信号会激活迷走神经中表达 TRPV1 蛋白的感觉神经元(VSNs),这类神经元的胞体位于结状 - 颈静脉神经节。研究通过单细胞 RNA 测序(scRNA-seq)发现,TRPV1 神经元是与机械感觉神经元 PIEZO2 完全不同的独立群体,具有特异性。随后通过AAV 病毒示踪、免疫组化和组织透明化 + 光片显微镜成像技术,观察到心梗后结状 - 颈静脉神经节中 TRPV1 神经元数量显著增加,且心脏心室梗死边缘区的 TRPV1 神经纤维分布也大幅增多,还形成了大量游离神经末梢,甚至能看到这些纤维沿心脏前后轴缠绕在梗死边缘区。也就是说,心梗会让心脏的 TRPV1 “感觉神经” 变得更活跃、分布更广泛,成为传递心脏损伤信号的关键载体。这部分结果明确了 TRPV1 迷走感觉神经元是心梗后心脑信号传递的第一个关键节点。

《Cell》靶向心脑轴:心梗精准治疗的新方向!(图3)

  为验证 TRPV1 神经元的作用,研究采用树脂毒素(RTX)靶向消融技术,先通过心包膜给药初步验证,后更精准地向结状 - 颈静脉神经节注射 RTX,特异性消融 TRPV1 神经元(NRTX)。通过清醒动物心电图(ECG)记录、心脏超声发现,消融后心梗小鼠的心电图 QRS 波恢复正常,左心室射血分数、短轴缩短率等核心心功能指标显著改善,梗死面积大幅减小。免疫荧光染色显示,消融后心脏交感神经支配减少,细胞增殖标志物 Ki67、血管内皮标志物 CD31 和血管内皮生长因子 VEGF 表达升高,也就是说,消融 TRPV1 神经元能减少心脏的交感神经过度激活,同时促进血管新生,助力心脏修复。ELISA 检测发现,心梗后升高的促炎因子 IL-1β 和 TNF-α 在消融后显著降低。进一步通过单细胞核 RNA 测序(snRNA-seq)和空间转录组学分析,发现消融 TRPV1 神经元能改变心梗后心脏细胞亚型构成,增加增殖性内皮九游娱乐细胞、成纤维细胞比例,减少炎性巨噬细胞,还能强化梗死边缘区 2(BZ2)心肌细胞的抗损伤能力,抑制梗死区扩张,同时激活心脏的抗氧化、补体系统等保护性通路。

《Cell》靶向心脑轴:心梗精准治疗的新方向!(图4)

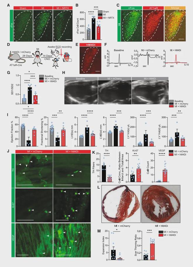
  下丘脑室旁核AT1aR神经元是心梗信号传递的中枢脑内节点,抑制其活性可复刻 TRPV1神经元消融的保护效果

  迷走神经的感觉信号会传递到大脑,研究发现心梗后下丘脑室旁核(PVN)的神经元被显著激活(cFos 蛋白表达升高),而消融 TRPV1 神经元后,这种激活会恢复到假手术水平,说明 PVN 的激活依赖于 TRPV1 神经元的外周信号输入。通过免疫组化筛选发现,心梗后激活的PVN 神经元特异性表达 AT1aR(血管紧张素 II 1a 型受体),确定其为脑内关键节点。研究利用化学遗传学技术,向 AT1aR 神经元中表达抑制性受体 hM4Di,通过腹腔注射和渗透泵持续给予 CNO 激活该受体,实现对 PVN AT1aR 神经元的长期抑制。结合清醒 ECG和心脏超声检测发现,抑制该神经元后,心梗小鼠的心电图恢复正常,心率变异性的 SD1/SD2 比值改善(自主神经张力恢复平衡),左心室功能指标显著提升,梗死面积减小。免疫荧光还显示,抑制 AT1aR 神经元后,心脏交感神经支配减少,Ki67 和 VEGF 表达升高,也就是说,脑内 PVN AT1aR 神经元是心梗信号的中枢整合节点,其过度激活会加剧心梗损伤,抑制它就能实现和消融外周 TRPV1 神经元一样的心脏保护效果,完成了 “外周神经 - 中枢脑区” 的信号通路验证。

《Cell》靶向心脑轴:心梗精准治疗的新方向!(图5)

  颈上神经节(SCG)存在心梗诱导的IL-1β炎症激活,且与心脏存在直接神经连接

  下丘脑 PVN 会通过交感神经向外周传递信号,颈上神经节(SCG)是交感神经的重要节点,此前其在心梗中的作用未被明确。研究通过ELISA和免疫荧光检测发现,心梗后 SCG 中的促炎因子 IL-1β 显著升高,而结状 - 颈静脉神经节、星状神经节中无此变化,说明 IL-1β 在 SCG 的升高具有特异性。为验证 SCG 与心脏的神经连接,研究采用霍乱毒素 B(CTB488)逆行示踪技术,向心肌注射示踪剂后,在 SCG 中检测到大量标记的神经元胞体,结合AAV9 病毒顺行示踪发现,SCG 的神经纤维直接投射到心脏,且心梗后这种投射的神经纤维数量显著增加,组织透明化成像还看到 SCG 纤维沿心脏前后轴支配梗死边缘区。也就是说,SCG 是直接支配心脏的交感神经节,且心梗后会发生特异性的 IL-1β 炎症激活,成为心脑环路的第三个外周输出节点。

《Cell》靶向心脑轴:心梗精准治疗的新方向!(图6)

  阻断颈上神经节的IL-1β信号可缓解心梗病理损伤,而外源性IL-1β会直接损伤心脏功能

  为验证 SCG 中 IL-1β 的功能,研究通过颈上神经节局部注射 IL-1β 中和抗体,特异性阻断该节点的 IL-1β 信号。通过ECG和心脏超声发现,阻断后心梗小鼠的 QRS 波保持正常,左心室射血分数、短轴缩短率等心功能指标显著改善,梗死面积和心室壁瘢痕变薄率降低。免疫荧光显示,阻断 IL-1β 后,心脏交感神经支配减少,Ki67、CD31、VEGF 表达升高,抗炎和促修复效果显著。反之,向健康小鼠的 SCG 中直接注射重组鼠源 IL-1β,会导致小鼠左心室射血分数降低、左心室收缩容积增大,出现类似心梗的心脏功能损伤,也就是说,SCG 中 IL-1β 的升高是心梗后心脏损伤的重要推手,阻断该信号是有效的心脏保护策略。同时研究发现,阻断 SCG 的 IL-1β 不会影响 PVN 的神经元激活,说明信号传递方向为“心脏→结状 - 颈静脉神经节→PVN→SCG→心脏”,完整验证了三节点环路的信号传导顺序。

《Cell》靶向心脑轴:心梗精准治疗的新方向!(图7)

  本研究综合运用单细胞 / 单细胞核 RNA 测序、病毒示踪、化学遗传学、空间转录组学、组织透明化成像等多种先进技术,系统解析了心肌梗死背后的三节点心脑神经免疫环路:心梗后心脏损伤信号由结状 - 颈静脉神经节的 TRPV1 迷走感觉神经元(节点 1)传递至下丘脑室旁核的 AT1aR 神经元(节点 2),该中枢节点激活后通过交感神经驱动颈上神经节(节点 3)的 IL-1β 炎症信号激活,而 SCG 的异常激活又会通过交感神经反向加剧心脏的交感过度支配、炎症反应和心肌损伤,形成恶性循环。通过靶向消融节点 1、化学遗传学抑制节点 2、局部阻断节点 3 的 IL-1β 信号,均能有效减小梗死面积、改善心脏功能、抑制炎症反应并促进血管新生,且三个节点的干预效果具有一致性。研究还明确了该环路的信号传导方向,揭示了心梗作为心 - 脑 - 免疫相互作用疾病的病理机制,同时为心梗的精准治疗提供了三个全新的特异性靶点,突破了传统心梗治疗仅聚焦于心脏局部的局限。

《Cell》靶向心脑轴:心梗精准治疗的新方向!(图8)

  理论意义:首次解析心梗后三节点心脑神经免疫环路,明确 “外周感觉神经 - 中枢脑区 - 外周交感神经” 的信号传导机制,填补心脑相互作用及神经免疫调控的研究空白;证实心梗是心 - 脑 - 免疫多系统联动的病理过程,突破 “心梗仅为心脏局部缺血疾病” 的传统认知,为神经心脏病学与心脏免疫学交叉研究提供新理论框架。

  临床意义:发现 TRPV1 迷走感觉神经元、PVN AT1aR 神经元、SCG IL-1β 三个特异性治疗靶点,为开发副作用更小、疗效更优的精准靶向药物奠定基础;突破心梗传统局部治疗局限,为制定心脑联动的跨系统治疗策略提供新思路,助力心梗后心衰、心律失常等并发症的防治。